Tác giả: ThS.BSNT. Nguyễn Hồng Ngọc
Hydroxychloroquine (HCQ, Plaquenil) là thuốc chống sốt rét được sử dụng phổ biến để điều trị các bệnh tự miễn bao gồm lupus ban đỏ hệ thống và viêm khớp dạng thấp. Theo các nghiên cứu, HCQ có tác dụng tốt, hiệu quả điều trị cao và an toàn với cả những đối tượng đặc biệt như phụ nữ có thai. Tuy nhiên, độc tính trên mắt là một vấn đề cần được lưu ý, đặc biệt là ở người sử dụng kéo dài. HCQ ít gây độc võng mạc hơn so với chloroquine. Tổn thương mắt do các loại thuốc này có thể bao gồm đục thủy tinh thể dưới bao sau, rối loạn chức năng thể mi, mất sắc tố điểm vàng, suy giảm mạch máu võng mạc và mất sắc tố đĩa thị giác. Các tổn thương này có thể gây giảm thị lực hoặc thậm chí dẫn đến mù. Các nghiên cứu lâm sàng đã đưa ra các quy trình sàng lọc chính xác và an toàn để ngăn ngừa độc tính trên mắt, hướng dẫn dùng thuốc an toàn và phát hiện tổn thương võng mạc ở giai đoạn sớm. Bài viết này giúp người bệnh hiểu hơn về tác dụng phụ trên mắt và hướng dẫn theo dõi khi sử dụng HCQ.
1. Người bệnh dùng HCQ có nguy cơ cao tổn thương mắt không?
Các nghiên cứu đánh giá bệnh võng mạc do HCQ cho thấy tỷ lệ bệnh ước tính khoảng dưới 1% ở người bệnh dùng thuốc trong vòng 5 năm. Tỷ lệ này cao hơn ở người bệnh sử dụng thuốc trong thời gian dài.[1],[2] Nghiên cứu trên 2361 người bệnh dùng HCQ > 5 năm đã báo cáo tỷ lệ bệnh võng mạc chiếm 7.5% người bệnh sử dụng liều hàng ngày lớn hơn 5 mg/kg cân nặng.[3] Do đó, bệnh võng mạc do HCQ không hiếm gặp ở bệnh nhân dùng HCQ kéo dài và tỷ lệ này còn tăng lên trong thời gian dùng HCQ.
Theo Hiệp hội Nhãn khoa Hoa Kỳ, các yếu tố nguy cơ bệnh võng mạc do HCQ bao gồm: liều hàng ngày > 5mg/kg, có bệnh võng mạc đồng mắc, thuốc dùng đồng thời như tamoxifen.[4] Cụ thể, trong nhóm bệnh nhân dùng liều từ 4 - 5mg/kg/ngày, tỷ lệ bệnh võng mạc trong 10 năm đầu sử dụng chỉ dưới 2%. Tuy nhiên, sau 20 năm, tỷ lệ này tăng lên đến khoảng 20%. Đối với các bệnh nhân dùng HCQ 800 - 1000mg/ngày (>20mg/kg), chỉ sau 2 năm điều trị đã có tới 20 - 25% bệnh nhân nhóm này mắc bênh võng mạc do HCQ.[5],[6] Vì vậy, liều dùng thuốc cần được kiểm soát chặt chẽ bởi bác sĩ chuyên ngành Miễn dịch học - Khớp học.

2. Biểu hiện bệnh lý võng mạc do HCQ như thế nào?
Tổn thương mắt do HCQ là tổn thương không hồi phục và có thể tiến triển.
Ở giai đoạn sớm, khi võng mạc tổn thương khu trú, người bệnh có thể vẫn có thị lực bình thường hoặc nhìn mờ nhẹ. Tuy nhiên, khi đến giai đoạn muộn, người bệnh xuất hiện nhìn mờ tăng dần và có thể dẫn đến mù.
Bệnh võng mạc do HCQ tiến triển phụ thuộc vào mức độ nghiêm trọng và có thể tiếp diễn ngay cả khi dừng thuốc. Đặc biệt, người bệnh châu Á có kiểu hình tổn thương khác với người bệnh châu Âu, điều này có thể dẫn đến chẩn đoán muộn khi sử dụng các liệu pháp sàng lọc thông thường. Những yếu tố này cho thấy tầm quan trọng của việc nhận định sớm tổn thương võng mạc, vì can thiệp sớm có thể giảm sự tiến triển và giảm nguy cơ mất thị lực.
3. Làm thế nào để theo dõi bệnh lý võng mạc do HCQ?
Theo hướng dẫn của Hiệp hội Nhãn khoa Hoa Kỳ,[4] tất cả người bệnh bắt đầu điều trị HCQ dài hạn nên được khám chuyên khoa mắt lần đầu trong năm đầu tiên sử dụng thuốc. Mục tiêu chính của sàng lọc cơ bản là loại trừ bất kỳ bệnh lý võng mạc hoặc điểm vàng tiềm ẩn.
Sau lần kiểm tra đầu tiên, nếu người bệnh không có yếu tố nguy cơ thì nên bắt đầu sàng lọc hàng năm sau 5 năm sử dụng thuốc. Tuy nhiên, những người bệnh có nguy cơ cao cần được khám chuyên khoa mắt thường xuyên hơn, 6 - 12 tháng/lần. Các yếu tố nguy cơ của bệnh võng mạc do HCQ bao gồm:
- Liều HCQ > 5 mg/kg/ngày
- Mắc bệnh thận
- Sử dụng đồng thời với Tamoxifen
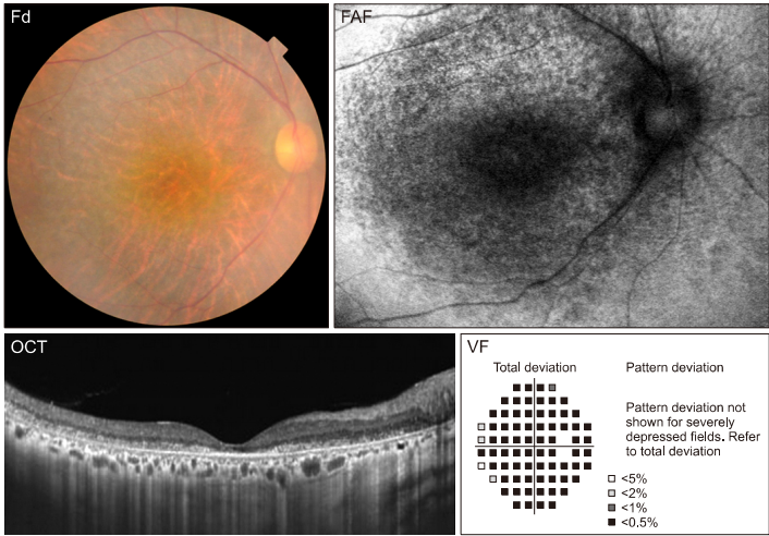
Các xét nghiệm được khuyến cáo để chẩn đoán bệnh võng mạc do HCQ trên người bệnh châu Á bao gồm:
- Đo thị lực trực tiếp
- Soi đáy mắt huỳnh quang (FAF)
- Chụp cắt lớp quang học (OCT)
- Đo điện võng mạc
Các xét nghiệm này cần được thực hiện bởi bác sĩ chuyên khoa Mắt giàu kinh nghiệm.
Khi phát hiện các tổn thương võng mạc ở người dùng HCQ, bác sĩ chuyên khoa Dị ứng - Miễn dịch lâm sàng sẽ đưa ra quyết định ngừng thuốc HCQ và phối hợp bác sĩ chuyên khoa Mắt để đưa các phác đồ điều trị cho bệnh lý này.

4. Kết luận
HCQ hiện nay vẫn là một thuốc an toàn, hiệu quả và được khuyến cáo cho điều trị các bệnh lý tự miễn qua nhiều nghiên cứu. Bệnh võng mạc do HCQ cần được tầm soát cẩn thận, đặc biệt ở những người sử dụng HCQ lâu dài. Không có liều "an toàn" cụ thể để khuyến cáo sử dụng HCQ. Tuy nhiên một nghiên cứu cho thấy liều điều trị dưới 5mg/kg/ngày có nguy cơ mắc bệnh thấp hơn.[3] Cần nhấn mạnh rằng việc phát hiện bệnh võng mạc sớm bằng cách tuân theo lịch trình sàng lọc cơ bản và hàng năm có thể giảm thiểu sự tiến triển của bệnh võng mạc và nguy cơ mất thị lực đáng kể. Sự phối hợp giữa bác sĩ chuyên khoa Dị ứng - Miễn dịch lâm sàng và bác sĩ chuyên khoa Mắt giúp dự phòng và quản lý bệnh tốt hơn.
TÀI LIỆU THAM KHẢO
1. Mavrikakis I et al. The incidence of irreversible retinal toxicity in patients treated with hydroxychloroquine: a reappraisal. Ophthalmology 2003;110:1321-6.
2. Wolfe F, Marmor MF. Rates and predictors of hydroxychloroquine retinal toxicity in patients with rheumatoid arthritis and systemic lupus erythematosus. Arthritis Care Res (Hoboken) 2010;62:775-84.
3. Melles RB, Marmor MF. The risk of toxic retinopathy in patients on long-term hydroxychloroquine therapy. JAMA Ophthalmol 2014;132:1453-60.
4. Marmor MF, et al. American Academy of Ophthalmology. Recommendations on screening for chloroquine and hydroxychloroquine retinopathy (2016 revision). Ophthalmology 2016;123:1386-94.
5. Leung LS, Neal JW et al. Rapid onset of retinal toxicity from high-dose hydroxychloroquine given for cancer therapy. Am J Ophthalmol 2015;160:799-805.e1.
6. Navajas EV, Krema H, et al. Retinal toxicity of high-dose hydroxychloroquine in patients with chronic graft-versus-host disease. Can J Ophthalmol 2015;50:442-50.